Aktuelt
Udvalgte patienter med svært lungeemfysem kan behandles kirurgisk

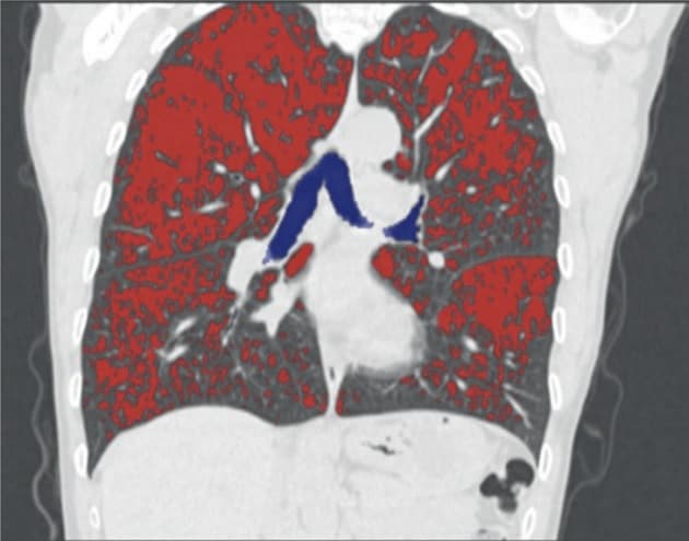
© Med CT-software visualiseres emfysemfordelingen i lungerne, markeret med rødt.
20. feb. 2019
1 min.

Svært emfysem med destruktion af alveolerne ses hos mange patienter med svær KOL. Forandringerne medfører pulmonal hyperinflation og kan give invaliderende åndenød. Ved lungevolumenreducerende kirurgi fjernes det ikkefunktionsdygtige lungevæv, hvilket er med til at genoprette brystkassens ventilatoriske funktion, reducere åndenød og forbedre overlevelsen. I statusartiklen beskriver Nodin et al udviklingen af de kirurgiske teknikker og de kriterier, som ligger til grund for udvælgelse af egnede patienter.
Læs statusartiklen
Kirurgisk lungevolumenreduktion til behandling af svært emfysem
Erika Nodin, Henrik Jessen Hansen, Jesper Ravn & Michael Perch