Udvidede perivaskulære rum


Christian Kirkedal, Karsten Vestergård & Lorenz Oppel
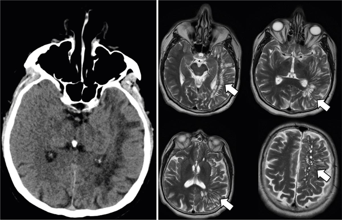
En mand på 70 år, tidligere rask, blev henvist af egen læge pga. tre års tiltagende ordfindingsbesvær og en CT, som gav mistanke om ældre infarkter i hele venstre hemisfære. Objektivt havde patienten svært ved at mobilisere dyrenavne og s-ord, men var ellers upåfaldende. En supplerende MR-skanning viste udvidede perivaskulære rum (PVS) i hele venstre hemisfære, uden tegn til iskæmi. En neuropsykologisk undersøgelse viste let påvirkning af de eksekutive funktioner, foreneligt med mild kognitiv impairment.
PVS er fyldt med interstitiel væske, som omkranser penetrerende kar fra subaraknoidalrummet ind i hjernevævet [1]. Prævalensen af MR-påvist dilaterede PVS er 1,6-3% blandt raske [2]. Undertiden bliver de svært forstørrede (kaldet gigant-PVS) med neurologiske udfald til følge [3]. Differentialdiagnoser er iskæmi, inflammation og cystiske neoplasier [2]. De adskilles fra lakunære infarkter ved at være mere afrundede og uden gliose. Hos denne patient var alle tre venstre kargebeter afficeret, hvilket er sjældent ved iskæmiske læsioner. PVS-ætiologien er uafklaret, men antages at være en normalanatomisk variant eller et udtryk for cerebral atrofi frem for en sygdomsproces i sig selv.
Korrespondance Christian Kirkedal. E-mail: chkirkedal@gmail.com
Publiceret på ugeskriftet.dk 6. december 2021
Interessekonflikter ingen. Forfatternes ICMJE-formularer er tilgængelige sammen med artiklen på ugeskriftet.dk
Artikelreference Ugeskr Læger 2021;183:V71089
Mohan S, Verma A, Sitoh YY, Kumar S. Virchow-robin spaces in health and disease. Neuroradiol J 2009;22:518-24.
Rudie JD, Rauschecker AM, Nabavizadeh SA et al. Neuroimaging of dilated perivascular spaces: from benign and pathologic causes to mimics. J Neuroimaging 2018;28:139-49.
Al Abdulsalam H, Alatar AA, Elwatidy S. Giant tumefactive perivascular spaces: a case report and literature review. World Neurosurg 2018;112:201-4.