Skip to main content

Umbilikal pilonidalcyste

Ban Abdulzahra Abdulwahab & Klaus Harste Næstved Sygehus, Klinisk Patologi og Parenkymkirurgisk Afdeling

8. okt. 2010
3 min.

Pilonidalcyster har et kronisk forløb, der er karakteriseret ved en fremmedlegeme-kæmpecellereaktion, som er forårsaget af nedvækst af hår i hud og subcutis. Tilstanden ses oftest i crena ani, men kan optræde andre steder på kroppen, hvor der er tæt hårvækst. Tilfælde med pilonidalcyste i umbilicus, aksiller, den suprapubiske region, clitoris, næse, amputationsstump, øjenlåg og fodsål er beskrevet.

I denne kasuistik beskrives et tilfælde af pilonidalcyste, som klinisk blev diagnosticeret som urachus persistens. Urachus er en kanal, der i fosterlivet forbinder blæren med umbilicus. Ukomplet lukning af denne kanal medfører dannelse af urachus persistens.

Sygehistorie

En 45-årig mand med kronisk pankreatitis pga.længerevarende alkoholmisbrug blev henvist til udredning på mistanke om periumbilikal subkutan absces. Der havde været konstante smerter omkring navlen gennem 2-3 dage og let blodtilblandet serøs sekretion fra selve navlen. Ved den objektive undersøgelse fandtes diffus rødme i et 4 × 4 cm stort område proksimalt for umbilicus, som var byldeøm ved berøring. Patienten var afebril. Ultralydsskanning af abdomen viste en hypodens, aflang struktur målende 2 × 1 × 0,5 cm. Den kliniske diagnose var inflammatorisk proces i urachus persistens (urachuscyste). Ca. et år før havde patienten et tilfælde med lignende smerter omkring navlen af 1-2 dages varighed dog uden sekretion. Tilstanden normaliserede da af sig selv.

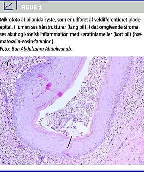
Patienten blev opereret og fik fjernet cysten sammen med to oblitererede kar. Ved histopatologisk -undersøgelse fandtes en cyste med indhold af hår og beklædt af veldifferentieret pladeepitel. I det omgivende stroma fandtes keratinlameller, akut og kronisk inflammation og fremmedlegemekæmpeceller uden dobbeltbrydende materiale (Figur 1 ).

Resten af det tilsendte materiale blev efterfølgende indstøbt og undersøgt, uden at der fandtes urotelbeklædte strukturer.

Diskussion

Pilonidalcyste i umbilicus er relativt sjælden. Det første tilfælde blev beskrevet for 150 år siden [3].

Årsagen til umbilikal pilonidalcyste er sandsynligvis, at afstødte hår fra brystet eller abdomen fanges i den dybe umbilikale reces og punkterer huden i denne, hvorved der fremkaldes en fremmedlegemereaktion. Senere kan der opstå infektion, eventuelt cystedannelse og måske abscedering [1, 3].

Tilstanden ses oftest hos yngre mænd med kraftig behåring omkring navlen. Hos kvinder findes hårgrænsen sædvanligvis et godt stykke under navlen.

Ud over køn og hirsutisme disponerer bl.a. overvægt, dyb navle, dårlig hygiejne og øget svedsekretion til pilonidalcyste omend i mindre grad end hirsutisme [3].

Symptomerne ved umbilikal pilonidalcyste er oftest smerter, blodtilblandet eller purulent sekret fra navlen, ømhed og hudrødme. Hos en del patienter forekommer en akut abscederende form [2, 3].

Differentialdiagnoserne er umbilikalt hernie, hos kvinder endometriose, metastase, medfødte anomalier som urachus persistens, umbilikal polyp og benigne tumorer f.eks. naevus [2, 4].

Behandling af umbilikal pilonidalcyste er afhængig af, om der foreligger en absces eller en kronisk cyste/fistel og er ved kroniske fistler afhængig af størrelsen og antallet af fistelåbninger.

Standardbehandling af ikkeabscederede pilonidalcyste har i mange år været bred, simpel excision af cystevævet med enten primær suturering (lukket) under antibiotikadække eller sekundær opheling af såret (åben). Pilonidalcyste med absces behandles med hudincision, oprensning af abscesområdet og sekundær opheling af såret. Vacuum-assisted closure (VAC)-behandling kan eventuelt anvendes efter ekstensiv excision. Ved VAC forstås en sugende, tætsiddende forbinding, der er tilsluttet undertryk [5].

Laserbehandling har været forsøgt til behandling af de almindelige pilonidalcyster som et alternativ eller supplement til den almindelige kirurgiske excision.

Konklusion

Umbilikal pilonidalcyste er sjælden, men må indgå i de differentialdiagnostiske overvejelser ved periumbilikale, absceslignende symptomer hos yngre mænd.


Ban Abdulzahra Abdulwahab , Klinisk Patologi, Næstved Sygehus, 4700 Næstved. E-mail: banjafar2000@yahoo.com

Antaget: 17. december 2009

Først på nettet: 5. april 2010

Interessekonflikter: Ingen

Referencer

  1. Gupta S, Sikora S, Singh M et al. Pilonidal disease of the umbilicus - a report of two cases. J Pn J Surg 1990;20:590-2.
  2. McClenathan JH. Umbilical pilondal sinus. Can J Surg 2000;43:225.
  3. Eryilmaz R, Sahin M, Okan I et al. Umbilical pilonidal disease: predisposing factors and treatment. World J Surg 2005;29:1158-60.
  4. Sroujieh AS, Dawoud A. Umbilical sepsis. Br J Surg 1989;76:687-8.
  5. Poulsen IM, Bisgaard T. Behandling af pilonidal sygdom. Ugeskr Læger 2008;170:2963.