Vena cava superior-syndrom imiterede angioødem


Markus Penner Grønlund1, Inessa Shilenok2 & Anette Bygum3, 4
En 79-årig mand med tidligere pancreascancer udviklede hævelse af øjenomgivelserne. Han blev vurderet to gange i akutmodtagelsen på mistanke om allergisk eller postinfektiøst angioødem. Der var ingen effekt af behandling med fexofenadin og prednisolon eller pausering af losartan.
Han blev henvist til hudlæge med diagnosen angioødem. På dette tidspunkt havde symptomerne varet i to måneder, og hævelsen af ansigtet var værst om morgenen. Objektivt fandtes ødem af ansigt og hals, mest markant i øjenomgivelser. Der var desuden mistanke om halsvenestase. Der var ingen påfaldende venetegning på brystkassen. Han blev henvist akut til hospital på mistanke om vena cava superior-syndrom.
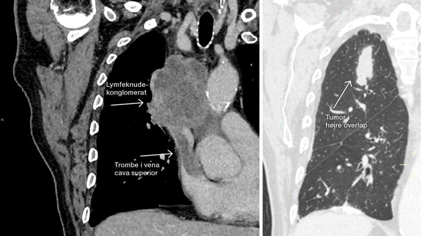
En CT af thorax viste tumor i højre øvre pulmonallap, stort mediastinalt lymfeknudekonglomerat og indvækst i vena cava superior med trombe. En histopatologisk undersøgelse viste småcellet lungecancer, og der blev indledt kemoterapi og strålebehandling.
Vena cava superior-syndrom kan imitere angioødem, og periorbitalt ødem kan være det primære symptom [1-4]. Denne case illustrerer vigtigheden af at foretage en grundig anamnese og differentialdiagnostik ved hævelser. Et clue om diagnosen er forværring i liggende stilling samt halsvenestase [5].
Korrespondance Anette Bygum. E-mail: anette.bygum@rsyd.dk
Antaget 12. september 2025
Publiceret på ugeskriftet.dk 12. januar 2026
Interessekonflikter ingen. Alle forfattere har indsendt ICMJE Form for Disclosure of Potential Conflicts of Interest. Disse er tilgængelige sammen med artiklen på ugeskriftet.dk
Artikelreference Ugeskr Læger 2026;188:V73071
doi 10.61409/V73071
Open Access under Creative Commons License CC BY-NC-ND 4.0