Fejltolkning af nonsystemisk vaskulitneuropati medfører forsinket behandling


Anne Møller Witt1, Louise Sloth Kodal1, Britt Stævnsbo Pedersen1, Eva Løbner Lund2 & Tina Dysgaard1
Nonsystemisk vaskulitneuropati (NSVN) er en vaskulitneuropati, hvor der sker isoleret iskæmisk aksonal degeneration af perifere nerver uden systemisk involvering. Typisk beskrives vaskulitneuropatier som smertefulde, akut-subakutte, attakvist progredierende, multifokale, sensomotoriske neuropatier. NSVN præsenterer sig dog hyppigt som kronisk progressiv (40%) [1-3], som radikulopleksopati (20%) og som symmetrisk distal polyneuropati (20%) [3]. Den er ret ofte smertefri (20%), og 15% har udelukkende sensorisk nerveaffektion [1, 3]. Den brede kliniske præsentation, samt at serologi, billeddiagnostik og spinalvæske oftest er upåfaldende, betyder, at mediantiden fra debut af symptomer til diagnose er lang: 2,5-12 måneder [3]. Tidlig iværksættelse af immunsupprimerende behandling er afgørende for at minimere skader på perifere nerver, som ellers resulterer i tab af funktion og i kroniske neurogene smerter [1, 4].
Vi præsenterer her to patienter med atypiske NSVN-fænotyper, men med betydeligt behandlingsrespons.
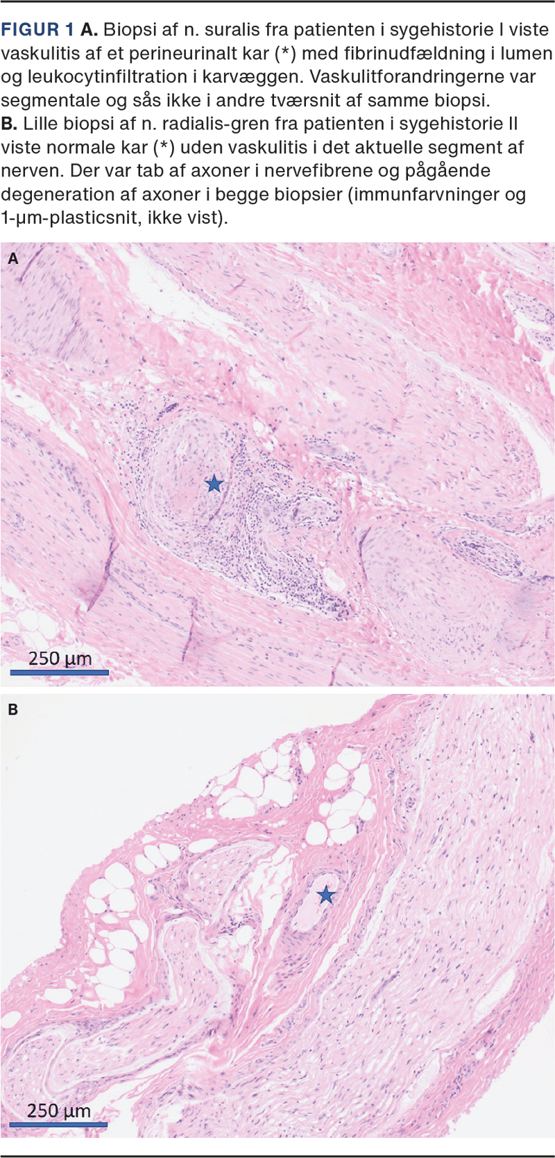
I. Hælspore: En 49-årig, i det væsentligste rask kvinde debuterede med smerter i højre hæl og læg tolket som hælspore. I det følgende år udviklede patienten intermitterende føleforstyrrelser forudgået af få dages lette skuldersmerter i begge arme. Multipel sklerose blev afkræftet, og nerveledningsundersøgelse (ENG) viste kun let affektion af højre n. suralis. Efter to år blev patienten henvist til en neuromuskulær klinik, idet symptomerne langsomt var progredieret til venstresidig dropfod og hypæstesi i venstre n. ulnaris, begge nn. peronei samt venstre n. cutaneus femoris lateralis. ENG viste asymmetrisk polyneuropati involverende højre n. suralis, nn. peronei, nn. tibiales samt venstre n. ulnaris og højre n. medianus. Serologi, helkrops-PET-CT og spinalvæske var upåfaldende. Biopsi af n. suralis bekræftede vaskulitis (Figur 1A). Patienten blev behandlet for mulig NSVN med tablet prednisolon 1 mg/kg/dag i tre måneder og infusion af rituximab 1 g hver sjette måned i to år. Hendes dropfod remitterede, paræstesierne vedblev, og ENG var uændret.
II. Impingement: En 45-årig, i det væsentligste rask kvinde debuterede med subakut indsættende, svære venstresidige skuldersmerter, der blev tolket som impingement og behandlet med analgetika, blokade og fysioterapi. Patienten udviklede nedsat følesans i venstre arm efter en måned og motoriske udfald efter nogle uger. Efter tre måneder blev hun henvist til en neuromuskulær klinik. Hun havde drophånd, svært påvirket fingerekstension og pincetgreb og fokal atrofi i m. infraspinatus, m. deltoideus og m. brachioradialis. ENG og elektromyografi viste neurogene forandringer af alle undersøgte muskler i venstre arm, manglende sensoriske svar fra n. radialis og reducerede svar i n. cutaneus antebrachii lateralis og n. musculocutaneus. Serologi, MR-skanning af cerebrum, MR-skanning af plexus brachialis, helkrops-PET-CT og spinalvæske var upåfaldende, og biopsi af n. radialis var uden tegn på vaskulitis (Figur 1B), men med atrofi. Patienten fik diagnosen skulderneuritis, og grundet de langvarige smerter blev der forsøgt behandling i tre måneder med tablet prednisolon 1 mg/kg/dag. Hun var herefter stabil, men uden bedring, hverken klinisk eller på ENG. Efter 12 måneder var der recidiv af de svære skuldersmerter, og der iværksattes behandling for mulig NSVN med tablet prednisolon 1 mg/kg/dag i tre måneder og infusion af rituximab 1 g hver sjette måned i to år. Tilstanden remitterede hurtigt med nærnormal motorisk funktion af venstre arm og stabilisering af ENG efter seks måneder.
Sygehistorierne illustrerer to forløb med NSVN, hvor der var eklatant effekt af immunsupprimerende behandling, men hvor arbejdsdiagnoserne var hhv. 1) hælspore og multipel sklerose samt 2) skulder-impingement og skulderneuritis. Sygehistorierne understreger, hvor heterogent NSVN kan præsentere sig. Idet der er gode behandlingsmuligheder, hvorved yderligere nerveskade kan undgås, er tidlig diagnose og behandling afgørende for at undgå blivende nerveskade [1, 5].
Ved uafklaret, hastigt progredierende neuropati uden systempåvirkning må man opfordre til, at klinikere overvejer henvisning til second opinion ved en neuromuskulær klinik med henblik på udelukkelse af NSVN, selv når neuropatien er symmetrisk og smertefri.
Korrespondance Anne Møller Witt. E-mail: anne.moeller.witt.02@regionh.dk
Antaget 21. marts 2023
Publiceret på ugeskriftet.dk 1. maj 2023
Interessekonflikter ingen. Forfatternes ICMJE-formularer er tilgængelige sammen med artiklen på ugeskriftet.dk
Referencer findes i artiklen publiceret på ugeskriftet.dk
Artikelreference Ugeskr Læger 2023;185:V10220665
Anne Møller Witt, Louise Sloth Kodal, Britt Stævnsbo Pedersen, Eva Løbner Lund & Tina Dysgaard
Ugeskr Læger 2023;185:V10220665
This case report presents two patients who were diagnosed with non-systemic vasculitic neuropathy (NSVN). The phenotypes were atypical: 1) slowly progressive neuropathy and 2) plexopathy in contrast to the classic NSVN phenotype: painful, asymmetric with subacute progression. Both patients had remarkable responses to the immunosuppressants prednisolone and rituximab, and the cases highlight the importance to consider NSVN as a differential diagnosis of patients with neuropathy of unknown aetiology, as treatment can be initiated to avoid irreversible nerve damage.