Hovedbudskaber
Artiklens vigtigste nye budskaber
Vaskulitneuropatier er formentlig underdiagnosticerede og mindst lige så hyppige som demyeliniserende polyradikuloneuropati og Guillain-Barrés syndrom.
Nonsystemisk vaskulitneuropati kan forveksles med idiopatisk polyneuropati, hvilket forsinker behandling.
Tidlig diagnose og behandling er vigtig for at reducere handicap og undgå død.
Sygdomme, der skyldes vaskulitis, er en heterogen gruppe karakteriseret ved inflammation og destruktion af blodkar, hvilket resulterer i iskæmisk skade i de væv, blodkarrene forsyner. Alt fra et enkelt til adskillige organer i kroppen kan involveres [1]. Mekanismen bag vaskulitneuropati (VN) er inflammation af vasa nervorum, hvor iskæmien ultimativt resulterer i skade af den perifere nerve og aksonal degeneration [2]. Hvis neuropatien indgår i en systemisk sygdom, betegnes den systemisk vaskulitneuropati (SVN), mens en VN, der udelukkende påvirker det perifere nervesystem, betegnes nonsystemisk vaskulitneuropati (NSVN) [3, 4].
Formålet med denne artikel er at sætte fokus på VN samt beskrive klassifikation, diagnosticering og behandling.
KLASSIFIKATION
I 2010 udgav Peripheral Nerve Society anbefalinger til klassifikation og diagnosticering af VN samt behandling af NSVN på baggrund af den dengang foreliggende litteratur [4]. VN opdeles ud fra den udløsende årsag (Tabel 1) og kan således være udløst af primær systemisk vaskulitis eller af systemisk sygdom såsom bindevævssygdom, kræft eller infektion. I mange tilfælde finder man dog ikke den udløsende årsag [3, 4].
Af de primære systemiske vaskulitter er det især vaskulitis i små til mellemstore blodkar, der medfører neuropati, der ofte er debutsymptomet. F.eks. forekommer neuropati hyppigt hos patienter med polyarteritis nodosa (65-85%) [6-8], eosinofil granulomatose med polyangiitis (60-80%) [7, 8], kryoglobulinæmisk vaskulitis (30-70%) [6] og mikroskopisk polyangiitis (40-50%) [7, 8], mens der sjældent ses neuropati ved kæmpecellearteritis (5-15%) [5-9]. Andre systemiske sygdomme, hvor neuropati forekommer jævnligt, er systemisk lupus erythematosus (20-27%), reumatoid artritis (15-70%) og Sjögrens syndrom (30-45%) [6].
Igennem de seneste år er klassifikationen af NSVN udvidet. Baseret på klinik og/eller histopatologi er flere syndromer foreslået omklassificeret til NSVN, heriblandt Wartenbergs migratoriske sensoriske neuropati, nondiabetisk og diabetisk radikulopleksopati samt nogle typer af skulderneuritis [3, 10]. NSVN omfatter således både mere benigne og ofte selvlimiterende tilstande samt kroniske og progressive sygdomme.
EPIDEMIOLOGI
Den overordnede prævalens for VN (SVN og NSVN) er fortsat ukendt. Det er anslået, at NSVN udgør ca. 28% af alle VN, baseret på nervebiopsiverificerede studier [8], og prævalensen af NSVN er estimeret til at være fra 3,4/100.000 (i Frankrig) til op til 7,5/100.000 (i Sverige), hvilket er på niveau med prævalensen af kronisk inflammatorisk demyeliniserende polyradikuloneuropati (CIDP) (0,8-7,7/100,000) [11]. Dette skal samtidig ses i lyset af, at diagnosen NSVN først stilles efter nervebiopsi, som ofte ikke udføres, idet mistanken om vaskulitis enten ikke rejses, eller sygdommen ses an i formodning om selvlimiterende sygdomsaktivitet. Alt i alt indikerer det, at NSVN er mindst lige så hyppig som andre immunmedierede neuropatier (CIDP og Guillain-Barrés syndrom) og formodentlig underdiagnosticeret [10, 12]. Gennemsnitsalderen for debut af NSVN er 60 14,8 år (spændvidde: 13-88 år), og kønsfordelingen er 1:1 [10].
KLINISK PRÆSENTATION
VN associeres typisk med en akut til subakut, smertefuld debut, og der er medinvolvering af en og sidenhen attakvist flere sensoriske og motoriske perifere nerver, der resulterer i asymmetriske dysæstesier, paræstesier og pareser [3, 13]. Denne præsentation betegnes mononeuritis multiplex. Differentialdiagnoser til mononeuritis multiplex er angivet i Tabel 2. Imidlertid vil kun ca. 30% af patienter med NSVN have symptomer på klassisk mononeuritis multiplex. 20% af patienterne vil ikke have smerter [3, 8, 10], 45% vil have en asymmetrisk polyneuropati, og 20% vil have en distal symmetrisk polyneuropati. Kun hos 5-10% af patienterne debuterer NSVN med et akut indsættende og hastigt progredierende forløb, mens 50% har subakut, attakvis progression, og hele 40% har et kronisk progredierende forløb [10].
Det kliniske billede afhænger af, hvilke nerver der afficeres. VN forekommer primært i de distale nerver i underekstremiteterne, især n. peroneus communis (ca. 90%), mens n. ulnaris oftest er påvirket i overekstremiteten (58%). Kranienerver er kun påvirkede hos op til ca. 6% af patienterne [7, 10]. NSVN er overvejende en sensomotorisk neuropati, men hos op til 15% vil der udelukkende være påvirkning af sensoriske nerver, mens en ren motorisk affektion er meget sjælden [3, 14]. Til trods for at der ved NSVN ikke er påvirkning af andre organsystemer, vil ca. 30% af patienterne have almen påvirkning i form af klinisk betydende vægttab, og ca. 10% har langvarig uforklaret febrilia [3, 10, 15].
Som beskrevet kan den heterogene præsentation af NSVN let forveksles med idiopatiske neuropatier, hvilket formentlig er en del af årsagen til, at mediantiden for diagnose er beskrevet at være 2,5-24 mdr. med forsinkelse i diagnose på op til 13 år [3].
UDREDNING
Udredningen af neuropati baseres på anamnese og neurologisk undersøgelse. Et hastigt progredierende forløb med objektiviserbare sensomotoriske udfald kan henlede mistanken på VN. Det er essentielt at få afdækket en eventuel underliggende systemisk sygdom, da flere af disse har høj mortalitet, og udredningen er omfattende (Tabel 3).
På nerveledningsundersøgelser ses ved VN en multifokal sensomotorisk eller sensorisk aksonal neuropati, mens elektromyografi vil afsløre et neurogent mønster i de involverede muskler [3, 5, 8].
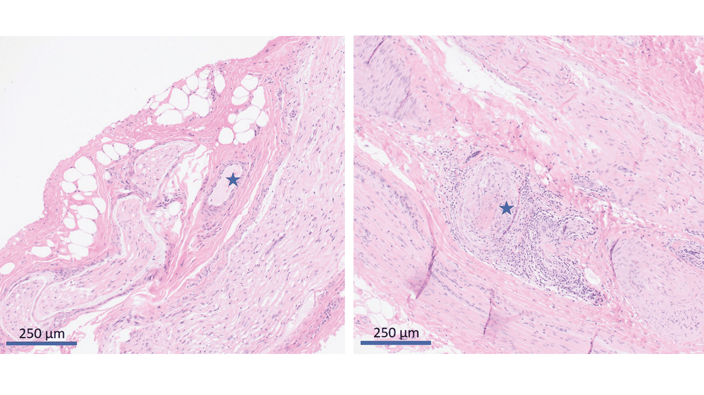
For at stille en sikker VN-diagnose skal der påvises vaskulitforandringer i en vævsbiopsi. Ved SVN kan VN-diagnosen stilles på baggrund af påvist vaskulitis i et andet organ, men i tilfælde hvor neuropati er det eneste symptom, vil en nervebiopsi være påkrævet [3, 4]. Ofte vil man vælge at bioptere n. suralis i fald den er afficeret, da den qua sin superficielle beliggenhed er let tilgængelig og er en ren sensorisk nerve, hvorved man ikke risikerer at miste motorisk førlighed efter biopsi. Alternativt kan man bioptere fra n. peroneus superficialis eller n. radialis superficialis. Sensitiviteten af nervebiopsi er ca. 50% [3, 8]. Den lave sensitivitet skyldes formentlig, at sygdommen rammer segmentielt, og det patologiske og primært afficerede område kan derfor være placeret mere proksimalt for biopsistedet, eller nerven kan være helt degenereret, og der er derfor ikke længere sygdomsaktivitet ved biopsistedet. Risikoen for at overse vaskulitforandringer reduceres ved at undersøge nerven ved seriesnit [2, 5], og kombineret muskel- og nervebiopsi er påvist at øge sensitiviteten med 5%, i hvert fald med SVN [8, 15]. I tilfælde af manglende eller utilstrækkelige histopatologiske fund er det muligt at stille diagnosen »sandsynlig VN« [3, 4].
For at kunne udelukke SVN og stille diagnosen NSVN skal systemisk sygdom være udelukket, screening for antineutrofile cytoplasmatiske antistoffer skal være negativ, og sedimentationsraten skal være < 100 mm/h [3, 4, 8].
BEHANDLING
Behandlingen af VN afhænger af den underliggende ætiologi, og målet er at standse den igangværende nerveskade og hindre yderligere nerveinvolvering.
For SVN vil behandlingen skulle baseres på den underliggende systemiske sygdom og foregå i det relevante medicinske speciale. Har den udløsende årsag været immunologisk uden fund af underliggende genese (f.eks. cancer), er behandlingen immunsupprimerende medicin. En mere dybdegående gennemgang af dette ligger uden for denne artikels ramme. Det er værd at bemærke, at det er uvist, om vaskulitaktiviteten i nerver og andre organer har det samme forløb, og om forskellige immunsupprimerende præparater er lige effektive over for sygdomsaktivitet i forskellige organer. Det er derfor relevant at monitorere sygdomsaktivitet, inklusive VN, i de involverede organer under behandling.
Der eksisterer til dato ingen rapporterede prospektive data fra behandlingen af NSVN, hvorfor de nuværende anbefalinger fra 2010 er baseret på klinisk erfaring, observationelle studier samt ekstrapolation af data fra studier af behandling af systemiske vaskulitsygdomme [3, 4, 7, 11]. Behandlingen af NSVN har traditionelt været mindre aggressiv end behandlingen af SVN, da SVN er associeret med høj mortalitet [7]. Vurdering af sygdomsaktivitet og indikation for iværksættelse af immunsupprimerende behandling af NSVN påhviler den enkelte kliniker at vurdere, men der foreligger ingen retningslinjer for gradering af aktiviteten af NSVN, og hvornår der er indikation for behandling. I anbefalingerne fra 2010 er førstevalgsbehandling monoterapi med glukokortikoid. Ved meget aggressivt forløb af NSVN eller ved sygdomsprogression på monoterapi anbefales 18-24 mdr.s kombinationsterapi med glukokortikoid og et glukokortikoidbesparende præparat (cyclophosphamid, methotrexat eller azathioprin) [4]. Senest er rituximab introduceret i behandlingen af VN baseret på studier af systemiske vaskulitter [3, 9, 13, 17-19].
Der er tiltagende konsensus om, at man bør være mindre afventende med at påbegynde mere intensiv behandling af NSVN, da flere retrospektive studier har vist, at kombinationsterapi frem for monoterapi med glukokortikoid reducerer irreversible og dermed invaliderende nerveskader [3, 20-22].
Ikkemedicinsk behandling
Det anbefales, at patienter med VN ud over medicinsk behandling modtager fysisk rehabilitering i form af jævnlig fysisk træning så tidligt i forløbet som muligt. Derudover kan der være brug for hjælpemidler som dropfodsskinne eller lignende [3].
PROGNOSE
De rapporterede data for prognosen af VN er påvirkede af, at der i behandlingen og opfølgningen af VN er stor variation i behandlingsregime. Overordnet gælder det, at der en god prognose for bedring i sensomotoriske symptomer, om end den afhænger af hastigheden af nerveregeneration [17]. Ung alder er associeret med et bedre outcome end høj alder [14]. Prognosen bedres yderligere ved kombinationsterapi frem for ved monoterapi [17], idet studier har vist, at tilbagefald især ses hos patienter, der har NSVN og udtrappes af monoterapi med glukokortikoid trods behandlingsrespons, mens patienter i kombinationsterapi med cyclophosphamid har færre tilbagefald. Op mod 82% af de patienter, som har NSVN og er i immunsupprimerende behandling, vil genvinde eller fastholde evnen til at gå uden hjælpemidler, mens kun 3% vil have ophørt gangfunktion [3]. Ingen studier har til dato målt på effekten af behandling på de neurologiske udfald hos patienter med SVN.
Smerter er et dominerende problem hos mange patienter med VN, og 44-71% af patienter med ellers god behandlingsrespons vil have kroniske smerter, som kan vise sig at være særdeles vanskelige at behandle [8, 17, 20].
KONKLUSION
Den kliniske præsentation af VN er yderst heterogen og spænder fra neuropati, der over få måneder udvikler sig til svært invaliderende symptomer, til langsomt progredierende, symmetriske, rent sensoriske symptomer. Især NSVN kan adskille sig fra den klassiske mononeuritis multiplex. Man bør derfor få mistanke om VN ved akut eller subakut debuterende, smertefuld, asymmetrisk sensorisk/sensomotorisk aksonal neuropati, men VN er også en vigtig differentialdiagnose ved uafklaret vedvarende progressiv eller attakvist progredierende, sensorisk/sensomotorisk aksonal neuropati.
Idet der er gode behandlingsmuligheder for VN, hvormed kronisk nerveskade og handicap kan undgås, bør man ved tvivl, ved enhver progressiv, selv symmetrisk, polyneuropati henvise til yderligere vurdering og opfølgning på højtspecialiseret niveau. I den sammenhæng bør det understreges, at prævalensen for VN synes at være mindst lige så hyppig som andre akutte og kroniske inflammatoriske neuropatier, og at VN derfor er underdiagnosticeret.
Udredningen af VN er omfattende og involverer udredning for systemisk årsag, neurofysiologi samt nervebiopsi med undersøgelse for segmentiel vasa nervorum-patologi, og opfølgning bør inkludere hyppige kliniske kontroller i op til to år efter debutsymptom.
Korrespondance Anne Møller Witt. E-mail: anne.moeller.witt.02@regionh.d
Antaget 17. maj 2023
Publiceret på ugeskriftet.dk 7. august 2023
Interessekonflikter Ingen. Forfatternes ICMJE-formularer er tilgængelige sammen med artiklen på ugeskriftet.dk
Referencer findes i artiklen publiceret på ugeskriftet.dk
Artikelreference Ugeskr Læger 2023;185:V11220671
Læs også
Summary
Vasculitic neuropathy
Anne Møller Witt & Tina Dysgaard
Ugeskr Læger 2023;185:V11220671
Vasculitic neuropathy (VN) may affect the peripheral nervous system alone (non-systemic vasculitic neuropathy (NSVN)) or be part of a systemic vasculitis. Studies indicate that NSVN is ascommon as other inflammatory neuropathies but is underdiagnosed, probably becausethe clinical phenotype is very heterogenous and vary from sub-acute painful mononeuritis multiplex to progressive, symmetric polyneuropathy. Since the irreversible nerve damage can be reduced with immunosuppressants, early recognition of VN is important. More studies are needed to validate treatment and outcome measures.
Referencer
- Jennette JC, Falk RJ, Bacon PA et al. 2012 revised International Chapel Hill Consensus Conference Nomenclature of Vasculitides. Arthritis Rheum. 2013;65(1):1-11. doi:10.1002/art.37715.
- Said G, Lacroix-Ciaudo C, Fujimura H et al. The peripheral neuropathy of necrotizing arteritis: a clinicopathological study. Ann Neurol. 1988;23(5):461-465.
- Collins MP, Hadden RD. The nonsystemic vasculitic neuropathies. Nat Rev Neurol. 2017;13(5):302-316.
- Collins MP, Dyck JB, Gronseth GS et al. Peripheral Nerve Society Guideline on the classification, diagnosis, investigation and immunosuppressive therapy of non-systemic vasculitic neuropathy: executive summary. J Peripher Nerv Syst. 2010;15(3):176-184.
- Vrancken AF, Said G. Vasculitic neuropathy. Handb Clin Neurol. 2013:115;463-483.
- Blaes F. Diagnosis and therapeutic options for peripheral vasculitic neuropathy. Ther Adv Muskuloskelet Dis. 2015;7(2):45-55.
- Graf J, Imboden J. Vasculitis and peripheral neuropathy. Curr Opin Rheumatol. 2019;31(1):40-45.
- Ginsberg L. Vasculitis and the peripheral nervous system. Rheumatology. 2020;59(Suppl 3):iii55-iii59.
- Gwathmey KG, Burns TM, Collins MP, Dyck PJ. Vasculitic neuropathies. Lancet Neurol. 2014;13(1):67-82.
- Collins MP, Dyck JB, Hadden RD. Update on classification, epidemiology, clinical phenotype and imaging of the nonsystemic vasculitic neuropathies. Curr Opin Neurol. 2019;32(5):684-695.
- Collins MP, Periquet-Collins I. Nonsystemic vasculitic neuropathy: update on diagnosis, classification, pathogenesi, and treatment. Front Neurol Neurosci. 2009:26;26-66.
- Ng PS, Dyck PJ, Laughlin RS et al. Lumbosacral radiculoplexus neuropati: incidence and the association with diabetes mellitus. Neurology. 2019;92(11);1188-1194.
- Gwathmey KG, Tracy JA, Dyck PJ. Peripheral nerve vasculitis: classification and disease associations. Neurol Clin. 2019;37(2):303-333.
- Üçeyler N, Gang A, Reiners K et al. Non-systemic vasculitic neuropathy: single-center follow-up of 60 patients. J Neurol. 2015;262(9):2092-2100.
- Quirins M, Théaudin M, Cohen-Aubart F et al; French Vasculitis Study Group (FVSG). Nonsystemic vasculitic neuropathy: presentation and long-term outcome from a French cohort of 50 patients. Autoimmun Rev. 2021;20(8):102874.
- Vrancken AF, Gathier CS, Cats EA et al. The additional yield of combined nerve/muscle biopsy in vasculitic neuropathy. Eur J Neurol. 2011;18(1):49-58.
- Sampaio L, Silva L, Terroso G et al. Vasculitic neuropathy. Acta Rheumatol Port. 2011:36(2);102-109.
- Jones R, Ferraro A, Chaudry A et al. A multicenter survey of rituximab theraoy for refractory antineutrophil cytoplasmic antibody-associated vasculitis. Arthritis Rheum. 2009;60(7):2156-2168.
- Mena-Vázquez N, Cabezudo-García P, Varela CF et al. Efficacy and safety of Rituximab in vasculitic neuropathy: a systematic review of the literature. Reumatol Clin (Engl Ed). 2019:15(3);173-178.
- Mathew L, Talbot K, Puvanarajah S, Donaghy M. Treatment of vasculitic peripheral neuropathy: a retrospective analysis of outcome. QJM. 2007;100(1):41-51.
- Collins MP, Periquet MI, Mendell JR et al. Nonsystemic vasculitic neuropathy: insights from a clinical cohort. Neurology. 2003;61(5):623-630.
- Davies L, Spies JM, Pollard JD, McLeod JG. Vasculitis confined to peripheral nerves. Brain. 1996;119(pt 5):1441-1448.
