Kontrastudløst anuri efter prostataembolisering


Marwah Jasim Hussein1, Margrethe Andersen1, Gitte Maria Jørgensen2 & Lars Lund1, 3
Benign prostatahyperplasi (BPH) kan forårsage symptomer fra nedre urinveje (LUTS) hos ældre mænd med en prævalens, der stiger fra 50% i aldersgruppen 51-60 år til 90% efter 80-årsalderen [1]. BPH involverer hyperplasi af stromale og epiteliale celler, hvilket kan resultere i dårlig blæretømning [1].
LUTS-udredning omfatter anamnese, væske-vandladnings-skema, Dansk Prostata Symptom Scoringsskema, objektiv undersøgelse af abdomen, rektal eksploration af prostata, urinundersøgelse, flow- og resturinmåling og rektal ultralydskanning. Afhængig af fund tilbyder man den bedste behandling for den individuelle patient. Behandlingsmulighederne spænder fra livsstilsændringer til medicinske og kirurgiske tilbud, hvor transuretral resektion af prostata er guldstandarden [2].
Prostataarterieembolisering (PAE) er et minimalt invasivt indgreb, som har været anvendt i Danmark i ti år, og som udføres af interventionsradiologer i tæt samarbejde med urologer med en succesrate på ca. 75% [2]. Det blev første gang rapporteret i 2000 hos en 76-årig mand med BPH og recidiverende transfusionskrævende hæmaturi, som var uegnet til kirurgi [3].
Vi beskriver en sjælden komplikation af kontrastinduceret akut nyreskade, som udviklede sig til anuri efter PAE.
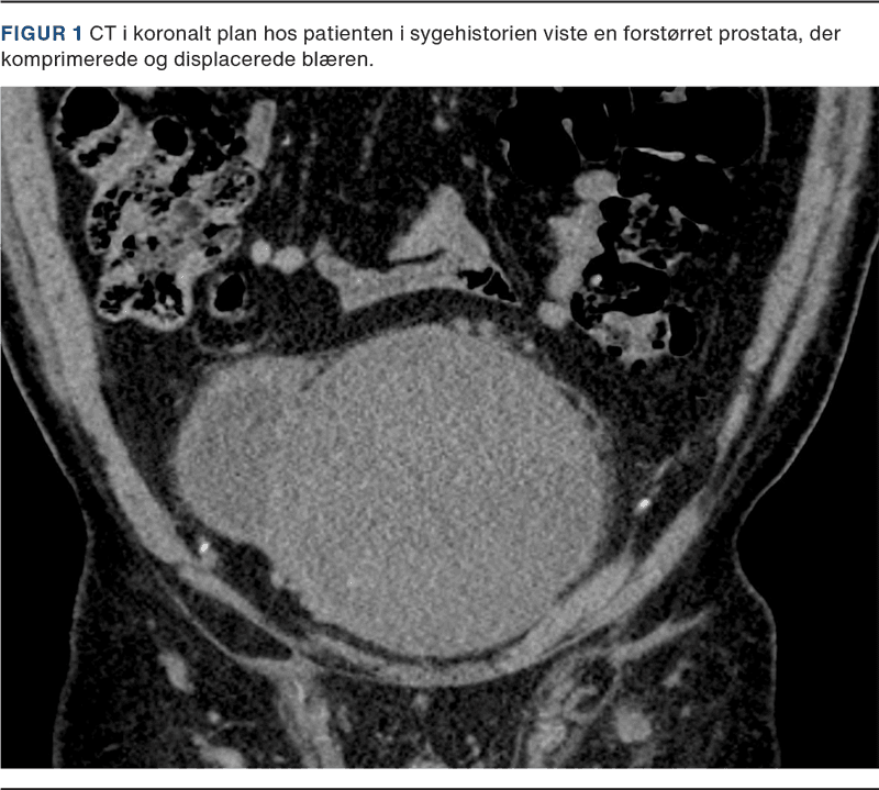
En 68-årig mand med markant forstørret prostata (1.500-1.700 cm3) (Figur 1), som displacerede blæren, blev henvist på grund af problemer med at udføre selvkateterisering. Han havde kronisk urinretention behandlet med intermitterende kateterisering og ingen tidligere urinvejsinfektioner. Han fik medicin mod hypertension og hyperkolesterolæmi. Efter udredning blev PAE tilbudt. S-kreatininniveauet var normalt, og patienten blev opstartet i behandling med 5-alfa-reduktasehæmmer (finasterid) to måneder før indgrebet. Han indtog ikke nefrotoksiske farmaka op til behandlingen.
PAE blev udført under lokalbedøvelse via højre femoralarterie, hvor otte mikropartikeldoser og 185 ml kontrastmiddel blev anvendt, hvilket er en lavere dosis end til koronarangiografi. Patienten blev udskrevet uden komplikationer samme dag. Seks dage senere blev han indlagt med anuri og manglende diurese i 12 timer. Ved ankomsten var han upåvirket, blodtrykket var 145/76 mmHg, pulsen var 69 slag/min, og blæren var tom. Biokemien var: kreatinin 1.060 µmol/l, kalium 3,5 mmol/l, calcium 0,86 mmol/l. Billeddiagnostik viste ingen hydronefrose, hvilket indikerede kontrastinduceret akut nyreskade. Dialyse blev indledt, men kort efter fik patienten hjertestop, blev genoplivet og overført til intensivafdeling. Dialysen blev afsluttet efter 25 dage, og der blev anlagt en implanterbar hjertestarter. Ved seksmånederskontrol var urinflow forbedret, resturin reduceret og kreatininkoncentration 126 µmol/l.
Denne sygehistorie viser en sjælden, men alvorlig komplikation med anuri efter PAE for BPH førende til dialyse, elektrolytforstyrrelse og efterfølgende hjertestop.
Bilateral embolisering foretrækkes for at opnå bedre effekt, selv om unilateral embolisering reducerer symptomer hos ca. halvdelen af patienterne. Antibiotika gives intravenøst og præoperativt. Ved PAE anvendes sfæriske eller uregelmæssige polyvinylalkohol- eller trisacrylgelatinepartikler (50-500 µm), hvor formen ikke påvirker resultaterne. Den anvendte mængde emboliseringsmateriale i denne sygehistorie var normal. Komplikationer er hæmaturi, dysuri og urinvejsinfektioner (10-20%) [4]. Postemboliseringssyndrom med feber, kvalme, penissmerter og influenzasymptomer ses hos 3,6% inden for 24 timer [4] og op til 25,5% i den følgende uge.
En metaanalyse af 13 studier med 1.254 patienter viste signifikant forbedring af moderat til svær LUTS efter PAE ved 12 måneder (p < 0,05) med gennemsnitlig international prognostisk scoring (IPSS) på 23,5. Alvorlige komplikationer forekom i 0,3% hos i alt tre af de behandlede: En fik blæreiskæmi, som krævede kirurgi, en anden fik vedvarende urinvejsinfektion behandlet med antibiotika, og den tredje udviklede perineale smerter i tre måneder [5]. Disse resultater tyder på, at PAE er en acceptabel, minimalt invasiv behandling for mænd med LUTS og betydelig komorbiditet eller høj anæstesirisiko.
Denne sygehistorie belyser en alvorlig risiko for kontrastinduceret akut nyreskade efter PAE, hvilket resulterede i dialyse, elektrolytforstyrrelse og efterfølgende hjertestop. Selv om PAE er en minimalt invasiv behandling for selekterede patienter med generelt gode resultater, understreger den vigtigheden af omhyggelig patientselektion og sikring af sufficient postoperativt væskeindtag for at forebygge den beskrevne komplikation.
Korrespondance Marwah Jasim Hussein. E-mail: Marwah.Jasim.Hussein.Hussein@rsyd.dk
Antaget 12. januar 2026
Publiceret på ugeskriftet.dk 23. marts 2026
Interessekonflikter ingen. Alle forfattere har indsendt ICMJE Form for Disclosure of Potential Conflicts of Interest. Disse er tilgængelige sammen med artiklen på ugeskriftet.dk
Referencer findes i artiklen publiceret på ugeskriftet.dk
Artikelreference Ugeskr Læger 2026;188:V08250685
doi 10.61409/ V08250685
Open Access under Creative Commons License CC BY-NC-ND 4.0
Prostatic artery embolization (PAE) is a minimally invasive treatment for benign prostatic hyperplasia, offering effective symptom relief with fewer complications than traditional surgery. This is a case report of a 68-year-old male with an enlarged prostate who developed contrast-induced acute kidney injury (AKI) post-PAE, progressing to dialysis-dependent renal failure and cardiac arrest. Prompt dialysis and ICU care stabilized renal function, with recovery observed at eight weeks. This case underscores the need for vigilance in high-risk patients to mitigate AKI risk and optimize PAE outcomes.