Rygerelaterede interstitielle lungesygdomme


Akam Dler Colnadar1, Milan Mohammad2, 3, Peter Kjeldgaard1, Lene Collatz Laustrup4, Eric Santoni-Rugiu5, 6 & Saher Burhan Shaker1, 6
Tobaksrygning er en undervurderet årsag til flere interstitielle lungesygdomme.
Fokus på anamnese og karakteristiske radiologiske og histologiske fund er centralt for tidlig diagnose og behandling.
Vedvarende tobaks og vapeforbrug gør rygerelaterede lungesygdomme til en fortsat aktuel udfordring.
Tobaksrygning er fortsat en udbredt sundhedsrisiko. Cirka hver fjerde dansker anvender mindst ét nikotinprodukt, og blandt unge ses en stigning i brugen af ecigaretter [1].
Det er velkendt, at tobaksrygning øger risikoen for kronisk obstruktiv lungesygdom og lungekræft, men mindre udbredt er kendskabet til de rygerelaterede interstitielle lungesygdomme (ILS, på engelsk ILD). Dette er en sjældnere gruppe af sygdomme, som primært involverer alveoler, interstitielt væv og små luftveje. Klinisk præsenterer disse patienter sig typisk med funktionsdyspnø ofte ledsaget af tør hoste og lungefunktionsundersøgelser (LFU), som viser restriktivt mønster med nedsat diffusionskapacitet (DLCO).
Rygerelateret ILS udgør en del af det samlede ILS-spektrum, som omfatter både idiopatiske tilstande og sygdomme med kendt ætiologi, såsom ved autoimmune sygdomme, lægemiddelreaktioner eller inhalation af skadelige substanser [2]. Tobaksrygning er direkte årsag til flere undertyper af ILS og en risikofaktor ved andre [3, 4]. I denne statusartikel gennemgås sygdomme, hvor rygning er en direkte årsag eller en risikofaktor under den samlede betegnelse »rygerelateret ILS«.
Tobakkens skadelige rolle i ILS-patogenesen er mindre kendt. Den øgede brug af CT og især højresolutions-CT (HRCT) har dog medført hyppigere detektion af tidlige interstitielle lungeabnormaliteter (ILA) hos asymptomatiske rygere, hvilket i nogle tilfælde kan repræsentere tidlig ILS [5].
Pulmonal Langerhanscelle-histiocytose
Pulmonal Langerhanscelle-histiocytose (PLCH) er en sjælden ILS med en estimeret prævalens på 1-2 personer pr. 100.000 [6] og ses næsten udelukkende hos yngre voksne rygere. Det består af ukontrolleret, vævsskadelig proliferation af langerhanske celler, der ofte er associeret med aktiverende mutationer af gener, der stimulerer mitogen-activated protein kinase pathway (MAPK)-signaleringsvejen med BRAF p.V600E-varianten som den hyppigste [7]. Klinisk præsenterer patienterne sig ofte med tør hoste, funktionsdyspnø og i nogle tilfælde spontan pneumothorax [8]. Visse patienter har også systemiske symptomer som feber og vægttab. LFU viser oftest nedsat DLCO og normal volumen, men kan være obstruktivt eller restriktivt nedsat afhængigt af sygdomsstadiet.
HRCT viser i tidlige stadier små, centrilobulære noduli, som over tid kan udvikle sig til uregelmæssige og tyndvæggede cyster (Figur 1 A). PLCH regnes også blandt de cystiske lungesygdomme, idet cystedannelsen udgør et centralt patoanatomisk træk. De tyndvæggede cyster er årsagen til den forhøjede forekomst af spontan pneumothorax. Disse forandringer er primært lokaliseret i midt- og overzonen, mens de basale og subpleurale områder oftest er relativt skånet [9]. Den nodulære fase kan differentialdiagnostisk give udfordringer og forveksles med maligne infiltrater, og den sencystiske fase er svær at skelne fra emfysem. Histopatologisk ses karakteristiske peribronkiolære infiltrater med ophobning af langerhanske celler (Figur 1 B), der immunhistokemisk er positive for CD1a (Figur 1 C), Langerin (CD207) (Figur 1 D) og S100. Der er ofte ledsagende eosinofile granulocytter, lymfocytter og makrofager, og destruktion af bronkiolernes væg med dannelse af afrundede eller stjerneformede noduli, der bliver tiltagende fibrotiske og kan kavitere.
Diagnosen stilles typisk på baggrund af billeddiagnostiske fund kombineret med vævsbiopsi, da bronkoalveolær lavage (BAL) sjældent er diagnostisk. Udredningen kan desuden omfatte fluordeoxyglucose (FDG)-PET/CT for at afklare eventuel ekstrapulmonal involvering. Behandling består primært af rygestop, som ofte fører til stabilisering eller bedring. Ved svær progressiv sygdom kan immunmodulerende behandling overvejes, særligt BRAF-kinase inhibitorer [10]. Prognosen varierer, da mange stabiliseres, men nogle udvikler respirationssvigt og kan være kandidater til lungetransplantation [11].
Respiratorisk bronkiolitis
Respiratorisk bronkiolitis (RB) er en histopatologisk og radiologisk manifestation, der typisk ses hos rygere. HRCT viser vage centrilobulære matglasnoduli, primært i midt- og overzonen [12]. Histologisk ses bronkiolocentrisk intraalveolær ophobning af pigmenterede makrofager uden fibrose [13]. RB ses oftest som et tilfældigt fund uden kliniske symptomer eller påvirkning af lungefunktionen. Respiratorisk bronkiolitisassocieret interstitiel lungesygdom (RB-ILD) (Figur 2) er derimod en klinisk-patologisk diagnose og videreudvikling, hvor der er tilkommet respiratoriske symptomer samt påvirket lungefunktion. RB-ILD diagnosticeres i langt de fleste tilfælde hos yngre rygere [13]. LFU viser typisk let nedsat DLCO.
Alveolær makrofag pneumoni
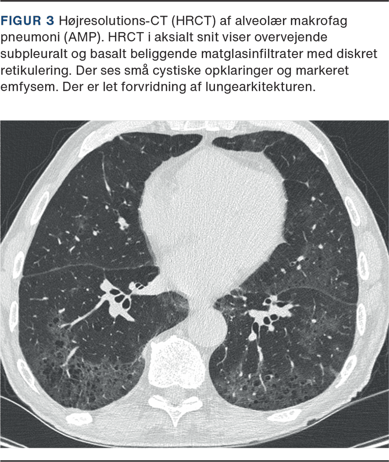
Alveolær makrofag pneumoni (AMP) er den helt nye betegnelse fremfor den tidligere deskvamative interstitielle pneumonitis (DIP) for bedre at beskrive den overdrevne ophobning af makrofager i alveolerne [14]. AMP er en sjældnere tilstand med debut typisk i 40-60-årsalderen hos tidligere eller nuværende rygere, men ses også ved visse erhvervseksponeringer, lægemidler og bindevævssygdomme [15]. Patienterne præsenterer sig med progredierende dyspnø, tør hoste og træthed. LFU er typisk restriktivt nedsat med nedsat DLCO.
HRCT viser typisk bilaterale basale matglasforandringer ofte med emfysem og mindre hyppigt cystiske forandringer. Der ses ofte fin retikulering i områderne og forvridning af arkitekturen (Figur 3) [16]. Histologisk ses ensartet diffus ophobning af pigmenterede makrofager i alveolerne med let interstitiel inflammation, men uden tydelig fibrose og med bevaret lungearkitektur [17].
RB-ILD og AMP betragtes som et spektrum af rygerelaterede ILS, hvor RB-ILD udgør den mildere form, og AMP udgør den mere klinisk betydende variant, der oftere har et behandlingsbehov.
Ved begge tilstande er rygestop grundstenen i behandlingen, som de fleste patienter responderer godt på. Ved AMP kan systemisk steroidbehandling overvejes ved klinisk betydende symptomer og/eller nedsat lungefunktion, særligt med reduktion i DLCO, især hvis der ses progression trods rygestop. Enkelte vil opleve tilbagefald eller progression trods behandling [15, 18].
Idiopatisk pulmonal fibrose
Idiopatisk pulmonal fibrose (IPF) er en kronisk, progressiv ILS, som typisk rammer mænd over 60 år med alvorlig prognose og tidlig død. Rygning er en væsentlig risikofaktor for udvikling af sygdommen, og op mod 80% af patienter med IPF er aktive eller tidligere rygere [19, 20]. Dog kan aldrigrygere også udvikle sygdommen. Klinisk ses tiltagende funktionsdyspnø og tør hoste. Objektivt findes ofte bibasale krepitationer (> 80%) og trommestikfingre (30-50%) [20].
Radiologisk viser HRCT typisk et usual interstitial pneumonia (UIP)-mønster med basal og subpleural retikulering, bikagetegning og fravær af betydelige matglasforandringer [20]. LFU viser restriktivt mønster med nedsat vitalkapacitet, total lungekapacitet og DLCO. IPF er udførligt beskrevet i en tidligere statusartikel [21].
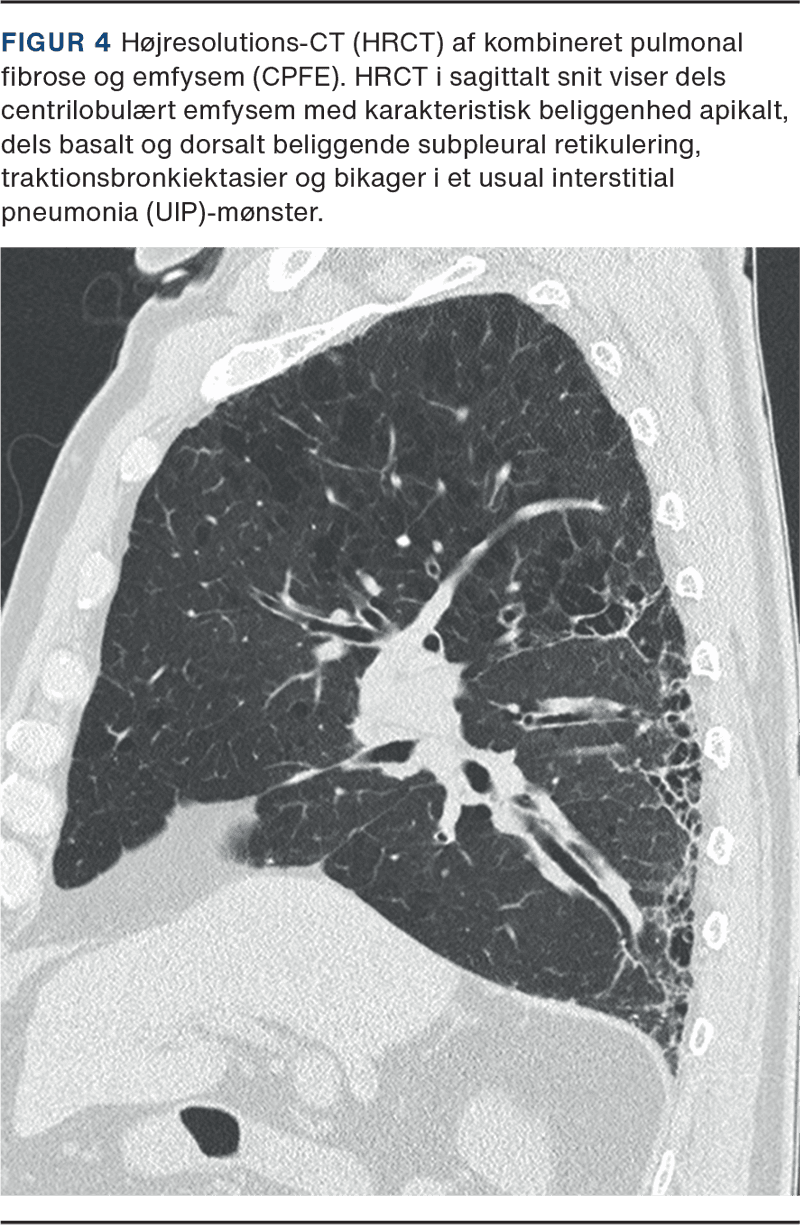
Kombineret pulmonal fibrose og emfysem
Kombineret pulmonal fibrose og emfysem (CPFE) betragtes af nogle som et syndrom karakteriseret ved samtidig forekomst af fibrose og emfysem hos storrygere [22]. Patienterne præsenterer sig med udtalt dyspnø, men har relativt normale eller kun let nedsatte værdier for forceret eksspiratorisk volumen i det første sekund (FEV1) og forceret vitalkapacitet (FVC) med bevaret eller let forhøjet FEV1/FVC-ratio. Dette skyldes, at den restriktive komponent fra fibrosen og den obstruktive komponent fra emfysemet kan udligne hinanden ved spirometri [23]. I kontrast hertil ses betydelig funktionsnedsættelse, anstrengelsesudløst hypoksæmi og svært nedsat DLCO. Pulmonal hypertension er en hyppig komplikation rapporteret hos 15% til 55% af patienter med CPFE [24]. Udredning af de fibrotiske forandringer følger den samme udredning som ved patienter uden emfysem. Prognosen er generelt dårlig og sammenlignelig med eller værre end IPF alene, især ved tilstedeværelse af pulmonal hypertension. Antifibrotisk behandling kan overvejes, men brugen og effekten er endnu ikke fuldt belyst [22].
HRCT viser karakteristisk kombination af paraseptal og centrilobulær emfysem i de øvre lungezoner og variable mønstre af fibrose (både radiologisk og histologisk), typisk med UIP-mønster i de basale lungefelter (Figur 4). Radiologisk kan det være vanskeligt at skelne CPFE fra diskrete fibrotiske forandringer i relation til emfysem, der betegnes som airspace enlargement with fibrosis (AEF). AEF er et radiologisk mønster, der histologisk korresponderer til smoking-related interstitiel fibrosis (SRIF), en rygerelateret interstitiel fibrose karakteriseret ved ensartet, mild fibrose og pigmenterede makrofager uden det typiske histologiske UIP-mønster [25].
Akut eosinofil pneumoni
Akut eosinofil pneumoni (AEP) er en sjælden, men alvorlig inflammatorisk lungesygdom, der ofte opstår kort tid efter påbegyndelse af rygning, især hos unge voksne. Der ses et akut indsættende respiratorisk svigt med feber, dyspnø og hypoksæmi og kan være svært at skelne initialt fra infektiøs pneumoni på grund af forhøjede akut fasereaktanter og normale blodeosinofile granulocytter.
Radiologisk fremstår AEP typisk med udbredte bilaterale matglasforandringer og/eller konsolideringer samt septale fortykkelser ofte beliggende apikalt og perifert, men kan variere meget i mønster tillige hyppig tilstedeværelse af pleural effusion. Histologisk ses diffus alveolær og interstitiel infiltration med eosinofile granulocytter i en baggrund af diffus alveolær skade. LFU viser typisk et udtalt restriktivt mønster med svært nedsat DLCO. Diagnosen bekræftes typisk ved BAL, som viser forhøjede eosinofiltal (> 25%). Tilstanden responderer hurtigt på systemisk steroidbehandling og har en god prognose ved tidlig intervention [26].
Lungeskade forårsaget af e-cigaretter eller vaping
E-cigaretter or vaping product use-associated lung injury (EVALI) er en akut eller subakut lungeskade, som forekommer hos forbrugere af e-cigaretter eller vaping-produkter, særligt dem indeholdende tetrahydrocannabinol (THC) eller E-vitaminacetat [27]. Tilstanden ses især hos unge voksne og debuterer ofte med hoste, åndenød og feber kombineret med gastrointestinale symptomer som kvalme, opkast og mavesmerter [28].
HRCT-mønsteret kan variere fra matglasforandringer i let til svær grad til udbredte konsolideringer og pleural effusion afspejlende det varierede histopatologiske fund. LFU kan vise et restriktivt mønster med reduceret DLCO især ved udbredte forandringer.
Billedmønstret kan efterligne infektiøse og inflammatoriske tilstande, hvilket gør differentialdiagnostikken udfordrende. Histologisk spænder fundene fra diffus alveolær skade og organiserende pneumoni til tilstedeværelse af intraalveolære lipidfyldte »skummakrofager« ved BAL. Fundene er dog uspecifikke, og diagnosen stilles ved udelukkelse af andre årsager kombineret med dokumenteret vaping inden for de seneste 90 dage [29].
Behandlingen består primært af ophør med eksponeringen, understøttende behandling med ilt og systemisk steroid ved moderate til svære tilfælde. Prognosen er god ved tidlig intervention, men alvorlige tilfælde kan kræve intensiv behandling, herunder respiratorstøtte. Langtidseffekter af EVALI er endnu ikke fuldt belyst [30].
Rygerelateret ILS udgør et diagnostisk og behandlingsmæssigt komplekst spektrum. Rygning forbliver en betydelig sundhedsudfordring, idet ca. 17% af den voksne danske befolkning fortsat ryger, og brugen af e-cigaretter er stigende, særligt blandt unge [1]. Rygning er en direkte årsag til udviklingen af tilstande som RB-ILD, AMP og PLCH, mens IPF og AEP illustrerer mere komplekse sygdomsbilleder, hvor rygning er en stor risikofaktor. Ofte er der behov for vurdering på højtspecialiserede ILS-centre på grund af overlap med andre diagnoser og behov for lungebiopsi i tvivlsomme tilfælde. Udvidet LFU, herunder statiske lungevolumina og diffusion samt gangtest, er et centralt supplement til HRCT i vurdering af sygdommens sværhedsgrad og fænotype. Rygestop er den vigtigste og mest effektive behandlingsstrategi, men enkelte sygdomme som AMP og AEP responderer til steroidbehandling, primært ved betydende symptomer, hurtig progression eller utilstrækkelig bedring trods rygestop. I svære eller refraktære tilfælde kan yderligere immunmodulerende behandling overvejes, dog ikke IPF som behandles med antifibrotika.
Rygerelateret ILS omfatter et bredt spektrum af tilstande med varierende klinik, prognose og behandling. Tidlig erkendelse og korrekt henvisning kræver kendskab til tilstandene blandt klinikere. Rygestop er hjørnestenen i behandlingen, men patienterne bør monitoreres tæt, da progression kan kræve immunmodulerende behandling, primært med binyrebarkhormon og i udvalgte tilfælde anden immunsuppression.
Korrespondance Milan Mohammad. E-mail: milanmohammad@hotmail.com
Antaget 22. oktober 2025
Publiceret på ugeskriftet.dk 12. januar 2025
Interessekonflikter ingen. Alle forfattere har indsendt ICMJE Form for Disclosure of Potential Conflicts of Interest. Disse er tilgængelige sammen med artiklen på ugeskriftet.dk
Referencer findes i artiklen publiceret på ugeskriftet.dk
Artikelreference Ugeskr Læger 2025;187:V07250614
doi 10.61409/V07250614
Open Access under Creative Commons License CC BY-NC-ND 4.0
Tobacco exposure is a known but underrecognized cause and risk factor of interstitial lung diseases (ILD). This review covers the clinical, radiological and histopathological features of key smoking-related ILDs, including those caused directly by smoking and with smoking as a risk factor. These conditions often share overlapping features, making diagnosis challenging. The widespread use of high-resolution computed tomography allows earlier detection, even in asymptomatic smokers. A systematic multidisciplinary approach is crucial for optimal and accurate diagnosis and appropriate management.