Skip to main content

VEXAS-genvarianter forklarer tidligere uerkendt klinisk syndrom

Mads Nyhuus Bendix Rasch1, Fruzsina Szabados2, Jens Magnus Bernth Jensen3, 4, Kirstine Overgaard Nielsen3, Ellen-Margrethe Hauge1, 5 & Anne Troldborg1, 6

3. okt. 2022
11 min.

VEXAS er et syndrom, der første gang blev beskrevet i december 2020 [1]. Akronymet VEXAS står for: V: vakuoler (karakteristisk fund i cellecytoplasma ved knoglemarvsundersøgelser), E: E1-enzym (det enzym, der pga. genvariationen ikke fungerer), X: genvarianten findes på X-kromosomet, A: autoinflammation (de fleste patienter har vedvarende ukontrollerbar inflammation) og S: somatisk (genvarianten er ikke en medfødt (arvelig), men optræder de novoi den myeloide cellelinje).

Hovedbudskaber

Artiklens vigtigste nye budskaber

Det unikke ved opdagelsen af VEXAS var, at forskerne, der beskrev syndromet, brugte en helt ny tilgang til at stille en diagnose. I en population af mennesker med udiagnosticeret uforklaret vedvarende inflammation lavede man fuld gensekventering. Herved opdagede man varianter i det samme gen, UBA1. Hos patienterne med den samme funktionelle genvariant beskrev man det kliniske billede, som er det billede, vi nu kender som VEXAS. 

Den typiske patient med VEXAS vil oftest have været indlagt gentagne gange på forskellige medicinske afdelinger, uden at man er nået frem til en sikker diagnostisk afklaring. Den typiske patient er en midaldrende til ældre mand, som er indlagt med feber og forhøjede infektionsparametre, uden at der er nogen påviselig mikrobiel årsag. Endvidere vil patienten på mistanke om okkult cancer og infektioner typisk allerede have gennemgået adskillige udredninger i form af skanninger, biopsier og skopier og have modtaget talrige antibiotikabehandlinger. I løbet af denne frugtesløse diagnostiske odyssé forringes patientens almentilstand, og mortaliteten i det udiagnosticerede forløb er høj [2].

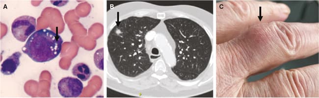
A. Udstrygningspræparat af knoglemarv fra patient med VEXAS, hvor de klassiske cyto­plasmatiske vakuoler i en myeloid progenitorcelle kan ses (pil). Præparatet er farvet med May-Grünwalds eosinmetylenblå farvning. B. CT af lungerne hos en patient med VEXAS med uspecifik infiltrativ forandring i højre lunge (pil). C. Kutan nodulær forandring typisk for patienter med VEXAS (her lokaliseret på tredje venstre finger) (pil).

PATOGENESE

Mutationerne, der fører til VEXAS, er lokaliseret på UBA1. UBA1 koder for et enzym, E1, som almindeligvis findes i to proteinisoformer, UBA1a og UBA1b. Hvilken isoform der dannes, afhænger af, hvor translationen af genet begynder. UBA1a er primært lokaliseret i cellekernen og UBA1b i cytoplasma. Hos patienter med VEXAS opdagede man en tredje isoform (kaldet UBA1c) i cytoplasmaet i celler med en af genvarianterne [1]. Samtidig fandt man markant lavere forekomst af UBA1b i de samme celler. Man identificerede UBA1c som enzymatisk inaktivt.

E1-enzymets normale funktion er initiering af ubiquitinylering. Ubiquitinylering er en posttranslationel proteinmodifikation, som er essentiel for regulering af adskillige intracellulære processer, herunder nedbrydning af proteiner [3]. Når et protein får påsat flere ubiquitinmolekyler (polyubiquitinylering), mærkes proteinet til nedbrydning i proteasomer og lysosomer [4].

Konsekvensen af et defekt E1-enzym, som ved VEXAS, er således manglende ubiquitinylering i de afficerede celler. Cellerne ophober proteiner, hvilket forårsager ukontrolleret inflammation [5]. Foreneligt hermed har transkriptomanalyser af perifert blod fra patienterne med VEXAS afsløret, at de har aktivering af adskillige innate immunveje [1].

I originalbeskrivelsen af VEXAS, hvor varianter i UBA1 blev rapporteret hos 25 mænd, bar alle patienterne missens-varianter i kodon 41 i UBA1, som er startkodon for UBA1b-transkriptet [1]. Varianterne er sjældne og fandtes ikke i diverse databaser såsom gnomAD. Varianterne blev fundet i hæmatopoietiske progenitorceller i knoglemarven, men kun i de myeloide cellelinjer.Senere har man fundet andre UBA1-varianter uden for kodon 41, nemlig i overgangen mellem intron 2 og exon 3 (i splejsningsmotivet, c.118-1G>C, og varianten c.167C>T) [6, 7]. Disse varianter leder sandsynligvis også til katalytisk inaktive former af E1-enzymet.

UBA1 er lokaliseret på X-kromosomet, men er ikke underlagt X-inaktivering [8]. VEXAS er indtil videre kun beskrevet hos fire kvinder [9-12]. Disse fire kvinder havde hver kun ét funktionelt X-kromosom. Tre af kvinderne havde erhvervet monosomi-X (funktionelt X-monosomi) [9-11] på baggrund af aldersrelateret mosaicisme [13]. Den sidste af kvinderne havde Turners syndrom (medfødt monosomi X, karyotype 45,X0) [12]. VEXAS er ikke observeret hos kvinder med to funktionelle X-kromosomer, hvilket tyder på, at en rask allel er nok til at beskytte mod VEXAS, mens mænd med blot ét X-kromosom er mere disponerede for sygdommen. Dette forklarer, hvorfor VEXAS primært rammer mænd.

TYPISKE SYMPTOMER

Siden den første publikation om VEXAS [1] er forståelsen af fænotypen udvidet (se Figur 1). Det er fortsat helt karakteristisk, at patienterne frembyder symptomer og fund inden for reumatologien og/eller det myelodysplastiske syndrom (MDS). Udredningen foregår derfor typisk på enten hæmatologiske eller reumatologiske afdelinger.

Ud over mandligt køn går to fund igen ved næsten alle rapporterede patienter med VEXAS: hyperinflammation med forhøjet CRP-niveau (ofte > 50 mg/l) og makrocytær anæmi [2].

De hyppigste reumatologiske symptomer ved VEXAS er artritis, kutan vaskulitis, kondritis, erythema nodosum, øjenaffektion og/eller neutrofil dermatose [2, 14]. Kasuistisk er VEXAS også diagnosticeret hos patienter med et klinisk billede, som er foreneligt med Kikuchi-Fujimoto-syndrom [15], systemisk lupus erythematosus [16], antineutrofile cytoplasmatiske antistoffer (ANCA)-associeret vaskulitis [17] og spondylartritis [18].

De hyppigste hæmatologiske manifestationer er makrocytær anæmi og lymfopeni. Trombo- og neutropeni ses oftest hos patienter, hvor sygdommen progredierer til MDS [19], hvilket ikke er hyppigt. Knoglemarvsundersøgelsen viser typisk cytoplasmatiske vakuoler i de myeloide og erytroide stamceller, hypercellularitet med myeloid hyperplasi, erytroid hypoplasi og varierende grader af dysplasi [19, 20]. VEXAS er identificeret hos hæmatologiske patienter, som er diagnoseret med MDS, myelomatose, monoklonal gammopati af ubestemt signifikans (MGUS), monoklonal B-cellelymfocytose og makrofagaktiveringssyndrom. En karakteristisk observation hos flere patienter med VEXAS med MDS er, at de ikke vedvarende opfylder kriterierne for MDS. Derimod ses pancytopeni og myelodysplasi kun i perioder med svær inflammation [21]. Patienterne har sjældent regelret MDS. Dette understreges af, at kun hos få af patienterne med VEXAS progredierer tilstanden til en mere avanceret MDS-sygdom (med blastoverskud). Disse patienter mangler de kendte MDS-drivergener og har kun sjældent kromosomforandringer. De få, der har MDS-relaterede mutationer, har i højere grad lav allelfrekvente klonal hæmatopoiese-mutationer. VEXAS er således inflammationsdrevet, modsat det man ser ved MDS med klonal udvikling og overskud af blaster i knoglemarven.

Foruden reumatologiske og hæmatologiske symptomer er trombose en recidiverende og alvorlig manifestation, der forekommer hos omkring 35% af patienterne [2]. Venøs trombose, dyb venøs trombose og lungeemboli forekommer langt hyppigere end arteriel trombose [1, 2, 19, 22].

HVEM SKAL UDREDES FOR VEXAS?

Der findes endnu ikke international konsensus om, hvilke fund der bør foranledige udredning for VEXAS. Baseret på den foreliggende litteratur og egne erfaringer med patienter med VEXAS vil vi anbefale udredning for VEXAS hos mandlige patienter, som opfylder kriterierne anført i Tabel 1. Udredningen bør varetages i relevant regi.

DIAGNOSE

En international standard for den genetiske diagnostik af VEXAS er ikke defineret. VEXAS er associeret med en række forskellige varianter i en relativ begrænset del af UBA1 (inden for en sekvens af knap 100 nukleotiders længde) [1, 2, 7]. Vi anvender aktuelt Sangersekventering af DNA fra perifert blod til formålet. Med metoden kan man under optimale forhold detektere en variant allelfrekvens for VEXAS-associerede varianter (i det følgende blot benævnt allelfrekvens) ned til ca. 10% [23]. Sensitiviteten bør være tilstrækkeligt til detektering også hos patienterne med de lavest rapporterede allelfrekvenser (15-20% [24]).

Allelfrekvensen varierer betydeligt imellem patienter med VEXAS [24], men den prognostiske betydning er endnu uklar. Sangersekventering er ikke egnet til præcis kvantificering af allelfrekvenser som next-generation sequencing er [25]. Hvis allelfrekvensen findes prognostisk betydende, bør sådanne metoder foretrækkes.

BEHANDLING

Der er endnu ikke udarbejdet behandlingsvejledninger for VEXAS, og der er endnu ikke publiceret randomiserede behandlingsstudier. Fælles for de publicerede artikler om behandling af VEXAS er, at VEXAS er refraktær over for de forsøgte behandlinger. Glukokortikoider kan dæmpe den inflammatoriske aktivitet, men kræver vedvarende behandling i høje doser, og der ses opblussen ved nedtrapning [2, 26]. Desuden har behandlingen betydelige bivirkninger.

VEXAS har høj mortalitet, om end det reelle tal er ukendt. Et estimat for mortalitet blev for nylig sat til 27% [27].

Strategien for de hidtil forsøgte VEXAS-behandlinger afspejler specialet, som har forestået behandlingen [6, 28]. I hæmatologisk regi har behandling med cytostatika (f.eks. azacitidin) været forsøgt i håbet om at eliminere/reducere den sygdomsforårsagende celleklon. I reumatologisk regi har behandling med TNF-α, interleukin (IL)-1, IL-6, januskinaseinhibitorer og IL-17 været forsøgt i håbet om at inhibere den sygdomsassocierede inflammation.

I øjeblikket er allogen knoglemarvstransplantation den eneste potentielt helbredende behandling af VEXAS. Retrospektivt har man undersøgt enkelttilfælde af patienter med VEXAS, der med godt resultat fik foretaget knoglemarvstransplantation [29]. Transplantationen blev således foretaget forud for, at VEXAS-diagnosen var stillet. Den første knoglemarvstransplantation på indikationen VEXAS er foretaget for ganske nylig [30]. Der er imidlertid fortsat mange spørgsmål vedrørende udvælgelsen af egnede patienter og håndtering af forhold, der kan være unikke for VEXAS-patienter [28]. Allogen knoglemarvstransplantation er ikke etableret som et primært behandlingsvalg til patienterne, men ved behandlingssvigt og manglende muligheder vil det være værd at overveje knoglemarvstransplantation hos en egnet kandidat.

I fremtidens behandling af patienter med VEXAS kan man muligvis benytte sig af helt andre strategier eller tilgange. Den somatiske variant i enkelte cellelinjer kunne potentielt korrigeres tilbage til den raske allel med f.eks. CRISPR/Cas9 eller andre genediteringsredskaber. Sådanne tilgange er endnu ikke forsøgt, men har særdeles spændende perspektiver.

KONKLUSION

VEXAS er en ny og relativt sjældent forekommende sygdom, der bør afklares hos især mandlige patienter med vedvarende inflammation og makrocytær anæmi. Mistanken om VEXAS skærpes yderligere ved reumatologiske symptomer samt vakuoler i de myeloide og/eller erytroide stamceller. Pga. risikoen for knoglemarvssvigt og hæmatologisk malignitet bør monitorering af sygdomsprogression foregå i tæt samarbejde mellem reumatologiske og hæmatologiske højtspecialiserede enheder.





Korrespondance Anne Troldborg. E-mail: atroldborg@hotmail.com

Antaget 29. juli 2022

Publiceret på ugeskriftet.dk 3. oktober 2022

Interessekonflikter Der er anført potentielle interessekonflikter. Forfatternes ICMJE-formularer er tilgængelige sammen med artiklen på ugeskriftet.dk

Artikelreference Ugeskr Læger 2022;184:V03220225

Summary

VEXAS gene variants explain previously unrecognized clinical syndrome

Mads Nyhuus Bendix Rasch, Fruzsina Szabados, Jens Magnus Bernth Jensen, Kirstine Overgaard Nielsen, Ellen-Margrethe Hauge & Anne Troldborg

Ugeskr Læger 2022;184:V03220225

This review aims to make clinicians aware of the newly described syndrome, VEXAS. VEXAS should become an obvious differential diagnosis in cases of unexplained inflammation, anemia, and rheumatological and/or hematological manifestations. Patients with VEXAS are typically male aged > 60, with inflammation, and macrocytic anaemia. On suspicion of cancer or infections patients have frequently been exposed to extensive diagnostic procedures and hospital admissions. In this review, we summarise the current knowledge of VEXAS regarding pathogenesis, symptoms, diagnosis, and treatment.

Referencer

Referencer

  1. Beck DB, Ferrada MA, Sikora KA et al. Somatic mutations in UBA1 and severe adult-onset autoinflammatory disease. N Engl J Med. 2020;383(27):2628-2638.

  2. Georgin‐Lavialle S, Terrier B, Guedon AF et al. Further characterization of clinical and laboratory features in VEXAS syndrome: large-scale analysis of a multicentre case series of 116 French patients. Br J Dermatol. 2022;186(3):564-574.

  3. Glickman MH, Ciechanover A. The ubiquitin-proteasome proteolytic pathway: destruction for the sake of construction. Physiol Rev. 2002;82(2):373-428.

  4. Wilkinson KD. The discovery of ubiquitin-dependent proteolysis. Proc Natl Acad Sci U S A. 2005;102(43):15280-2.

  5. Navid F, Colbert RA. Causes and consequences of endoplasmic reticulum stress in rheumatic disease. Nat Rev Rheumatol. 2017;13(1):25-40.

  6. Bourbon E, Heiblig M, Gerfaud Valentin M et al. Therapeutic options in VEXAS syndrome: insights from a retrospective series. Blood. 2021;137(26):3682-3684.

  7. Poulter JA, Collins JC, Cargo C et al. Novel somatic mutations in UBA1 as a cause of VEXAS syndrome. Blood. 2021;137(26):3676-3681.

  8. Carrel L, Clemson CM, Dunn JM et al. X inactivation analysis and DNA methylation studies of the ubiquitin activating enzyme E1 and PCTAIRE-1 genes in human and mouse. Hum Mol Genet 1996;5(3)391-401.

  9. Arlet J-B, Terrier B, Kosmider O. Mutant UBA1 and severe adult-onset autoinflammatory disease. N Engl J Med. 2021;384(22):2163.

  10. Tsuchida N, Kunishita Y, Uchiyama Y et al. Pathogenic UBA1 variants associated with VEXAS syndrome in Japanese patients with relapsing polychondritis. Ann Rheum Dis. 2021;80(8):1057-1061.

  11. Barba T, Jamilloux Y, Durel CA et al. VEXAS syndrome in a woman. Rheumatology (Oxford). 2021;60(11):e402-e403.

  12. Stubbins RJ, McGinnis E, Johal B et al. VEXAS syndrome in a female patient with constitutional 45,X (Turner syndrome). Haematologica. 2022;107(4):1011-1013.

  13. Machiela MJ, Zhou W, Karlins E et al. Female chromosome X mosaicism is age-related and preferentially affects the inactivated X chromosome. Nat Commun. 2016;7:11843.

  14. Ferrada MA, Sikora KA, Luo Y et al. Somatic mutations in UBA1 define a distinct subset of relapsing polychondritis patients with VEXAS. Arthritis Rheumatol. 2021;73(10):1886-1895.

  15. Lee SMS, Fan BE, Lim JHL et al. A case of VEXAS syndrome manifesting as Kikuchi-Fujimoto disease, relapsing polychondritis, venous thromboembolism and macrocytic anaemia. Rheumatology (Oxford). 2021;60(9):E304-E306.

  16. Sharma A, Naidu G, Deo P, Beck DB. VEXAS syndrome with systemic lupus erythematosus: expanding the spectrum of associated conditions. Arthritis Rheumatol. 2022;74(2):369-371.

  17. Ross C, Elfassy HL, Makhzoum JP. Somatic mutation in UBA1 and ANCA-associated vasculitis. J Rheumatol. 2021;48(10):1626-1627.

  18. Magnol M, Couvaras L, Degboé Y et al. VEXAS syndrome in a patient with previous spondyloarthritis with a favourable response to intravenous immunoglobulin and anti-IL17 therapy. Rheumatology (Oxford). 2021;60(9):e314-e315.

  19. Obiorah IE, Patel BA, Groarke EM et al. Benign and malignant hematologic manifestations in patients with VEXAS syndrome due to somatic mutations in UBA1. Blood Adv. 2021;5(16):3203-3215.

  20. Patel N, Dulau-Florea A, Calvo KR. Characteristic bone marrow findings in patients with UBA1 somatic mutations and VEXAS syndrome. Semin Hematol. 2021;58(4):204-211.

  21. Raaijmakers MHGP, Hermans M, Aalbers A et al. Azacytidine treatment for VEXAS syndrome. Hemasphere. 2021;5(12):e661.

  22. Groarke EM, Dulau-Florea AE, Kanthi Y. Thrombotic manifestations of VEXAS syndrome. Semin Hematol. 2021;58(4):230-238.

  23. Lacombe V, Beucher A, Urbanski G et al. Distinction between clonal and paraclonal cutaneous involvements in VEXAS syndrome. Exp Hematol Oncol. 2022;11(1):6.

  24. Van der Made CI, Potjewijd J, Hoogstins A et al. Adult-onset autoinflammation caused by somatic mutations in UBA1: a Dutch case series of patients with VEXAS. J Allergy Clin Immunol. 2022;149(1):432-439.e4.

  25. Strom SP. Current practices and guidelines for clinical next-generation sequencing oncology testing. Cancer Biol Med. 2016;13(1):3-11.

  26. Koster MJ, Kourelis T, Reichard KK et al. Clinical heterogeneity of the VEXAS syndrome: a case series. Mayo Clin Proc. 2021;96(10):2653-2659.

  27. Ferrada M, Savic S, Alessi H et al. Genotype and transfusion dependence predicts mortality in VEXAS syndrome, a newly described disease with overlap inflammatory and hematologic features – ACR Meeting Abstracts. Arthritis Rheumatol. 2021;73(suppl 10):1426.

  28. Heiblig M, Patel BA, Groarke EM et al. Toward a pathophysiology inspired treatment of VEXAS syndrome. Semin Hematol. 2021;58(4):239-246.

  29. Diarra A, Duployez N, Fournier E et al. Successful allogeneic hematopoietic stem cell transplantation in patients with VEXAS syndrome: a 2-center experience. Blood Adv. 2022;6(3):998-1003.

  30. Loschi M, Roux C, Sudaka I et al. Allogeneic stem cell transplantation as a curative therapeutic approach for VEXAS syndrome: a case report. Bone Marrow Transplant. 2022;57(2):315-318.